Biến thể nặng hơn của hội chứng Klinefelter (48,XXXY) là gì?
Trước khi tìm hiểu về biến thể nặng hơn của hội chứng Klinefelter (48,XXXY), chúng ta cần nắm rõ về hội chứng Klinefelter.
Hội chứng Klinefelter được phát hiện lần đầu tiên vào năm 1942 bởi nhà nghiên cứu nội tiết Harry Klinefelter. Ông đã mô tả trường hợp 9 nam giới sau tuổi dậy thì bị vô sinh, suy sinh dục, vú to, thiếu nam tính, tinh hoàn nhỏ và nồng độ gonadotropin tăng (Klinefelter và cộng sự 1942).
Đến năm 1959, các nhà nghiên cứu mới ghi nhận những nam giới này có thêm một nhiễm sắc thể X dẫn đến kiểu nhiễm sắc thể là 47,XXY (Jacobs và Strong 1959). 47,XXY là tình trạng bất thường nhiễm sắc thể giới tính phổ biến nhất của hội chứng này. Tiếp đến là các dạng khảm (46,XY; 47,XXY). Bên cạnh đó, biến thể nặng hơn của hội chứng Klinefelter (48,XXXY), (48,XXYY) và (47,XYY) cũng có thể xảy ra nhưng rất hiếm.
Trong đó, hội chứng 48,XXXY ảnh hưởng đến khoảng 1:17.000 đến 1:50.000 trẻ nam sơ sinh. Đây là một chứng rối loạn nhiễm sắc thể giới tính tương đối hiếm gặp, là một nhóm các tình trạng gây ra bởi sự thay đổi số lượng nhiễm sắc thể giới tính (nhiễm sắc thể X và nhiễm sắc thể Y).

Hội chứng 48, XXXY là một chứng rối loạn nhiễm sắc thể giới tính tương đối hiếm gặp, được gây ra bởi sự thay đổi số lượng nhiễm sắc thể giới tính (Nguồn: Pixabay)
Triệu chứng của người mắc biến thể nặng hơn của hội chứng Klinefelter (48,XXXY)
Hội chứng Klinefelter gây ra tình trạng phát triển khác biệt về thể chất, thiểu năng trí tuệ, chậm phát triển, dị tật bẩm sinh và không có khả năng sinh con (vô sinh) ở nam giới. Ở các kiểu bất thường nhiễm sắc thể khác nhau (46,XY), (47,XXY), (48,XXXY), (48,XXYY), (47,XYY) sẽ có mức độ bị ảnh hưởng khác nhau. Các dấu hiệu và triệu chứng của hội chứng Klinefelter cũng sẽ có biểu hiện khác nhau giữa các cá nhân khác nhau.
Giống như hội chứng Klinefelter, biến thể nặng hơn của Hội chứng Klinefelter (48,XXXY) ảnh hưởng đến sự phát triển giới tính của nam giới và có thể liên quan đến khuyết tật học tập cũng như các vấn đề về phát triển ngôn ngữ và lời nói. Tuy nhiên, các đặc điểm của hội chứng 48,XXXY có xu hướng nghiêm trọng hơn hội chứng Klinefelter và ảnh hưởng đến nhiều bộ phận của cơ thể hơn.
Hầu hết các bé trai và nam giới mắc biến thể nặng hơn của hội chứng Klinefelter (48,XXXY) đều bị thiểu năng trí tuệ kèm theo việc khó khăn trong học tập. Sự phát triển ngôn từ và lời nói bị ảnh hưởng đặc biệt. Hầu hết các trẻ nam và nam giới bị ảnh hưởng có thể hiểu những gì người khác nói dễ dàng hơn những gì chính họ nói. Những khó khăn về lời nói và giao tiếp này có thể góp phần gây ra các vấn đề về hành vi, bao gồm cáu kỉnh bộc phát hoặc giận dữ. Các trẻ nam và nam giới mắc hội chứng 48,XXXY có xu hướng lo lắng, khả năng tập trung ngắn và suy giảm các kỹ năng xã hội.

Một số triệu chứng của người mắc hội chứng Klinefelter (Nguồn: wikipedia)
Hội chứng 48,XXXY cũng liên quan đến trương lực cơ yếu (giảm trương lực cơ) và các vấn đề về phối hợp làm chậm sự phát triển các kỹ năng vận động, chẳng hạn như ngồi, đứng và đi lại. Các trẻ nam và nam giới bị ảnh hưởng có xu hướng cao hơn so với các bạn cùng lứa tuổi, với chiều cao trung bình khi trưởng thành là trên 1m8.
Những khác biệt về thể chất khác liên quan đến hội chứng 48,XXXY bao gồm bất thường của một số xương ở cẳng tay (bất thường kết nối xương quay-xương trụ), phạm vi cử động khớp lớn bất thường (giảm khả năng duỗi), bất thường ở khuỷu tay, ngón út cong (clinodactyly ngón tay thứ năm) và bàn chân bẹt (pes planus).
Những người bị ảnh hưởng có thể có các đặc điểm trên khuôn mặt đặc biệt, bao gồm mắt cách xa nhau, khóe mí mắt hướng lên trên và các nếp gấp da che góc trong của mắt. Tuy nhiên, một số trẻ nam và nam giới mắc hội chứng 48,XXXY không có những khác biệt này trên khuôn mặt.
Hội chứng 48,XXXY làm gián đoạn sự phát triển giới tính của nam giới. Dương vật ngắn hơn bình thường và bị ẩn tinh hoàn, nghĩa là chúng nằm bất thường bên trong xương chậu hoặc ổ bụng. Tinh hoàn nhỏ và không sản xuất đủ testosterone, hormone điều hòa sự phát triển giới tính của nam giới. Sự thiếu hụt testosterone thường dẫn đến dậy thì không hoàn chỉnh. Bắt đầu ở tuổi thiếu niên, các trẻ nam và nam giới bị ảnh hưởng có thể không có lông trên cơ thể (hoặc lông thưa thớt) và một số bị phì mô vú (gynecomastia). Tinh hoàn của họ thường không sản xuất ra tinh trùng, vì vậy hầu hết nam giới mắc bệnh này đều bị vô sinh.
Nguyên nhân biến thể nặng hơn của hội chứng Klinefelter (48,XXXY)
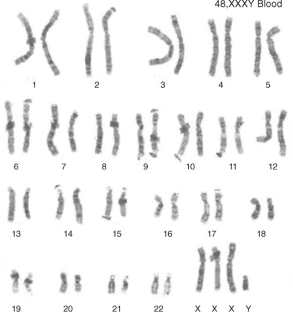
Hội chứng 48,XXXY là một hội chứng được gây ra bởi sự rối loạn nhiễm sắc thể giới tính ở nam, do có thêm hai nhiễm sắc thể X trong mỗi tế bào. Bình thường, người có 46 nhiễm sắc thể trong mỗi tế bào, hai trong số đó là nhiễm sắc thể giới tính. Nữ có hai nhiễm sắc thể X (46,XX); nam có một nhiễm sắc thể X và một nhiễm sắc thể Y (46,XY). Các cá thể nam mắc biến thể nặng hơn của hội chứng Klinefelter có nhiễm sắc thể Y đơn thông thường, nhưng có ba bản sao của nhiễm sắc thể X, với tổng số 48 nhiễm sắc thể trong mỗi tế bào (48,XXXY).
Hoạt động của các gen bổ sung này ảnh hưởng đến nhiều khía cạnh của sự phát triển, bao gồm cả sự phát triển giới tính trước khi sinh và ở tuổi dậy thì.
Tình trạng này không được di truyền; nó xảy ra như một sự kiện ngẫu nhiên trong quá trình hình thành các tế bào sinh sản (trứng hoặc tinh trùng) ở bố mẹ của người bị ảnh hưởng. Trong quá trình phân chia tế bào, một lỗi gọi là không phân ly sẽ ngăn cản nhiễm sắc thể X phân ly bình thường giữa các tế bào sinh sản khi chúng hình thành. Thông thường, khi tế bào phân chia, mỗi tế bào trứng sẽ nhận một nhiễm sắc thể X và mỗi tế bào tinh trùng sẽ nhận một nhiễm sắc thể X hoặc một nhiễm sắc thể Y. Tuy nhiên, do không phân ly nên tế bào trứng hoặc tế bào tinh trùng cũng có thể có thêm hai bản sao của nhiễm sắc thể X.
Nếu một tế bào trứng có thêm hai nhiễm sắc thể X (XXX) được thụ tinh bởi một tế bào tinh trùng có một nhiễm sắc thể Y thì đứa trẻ sinh ra sẽ mắc hội chứng 48,XXXY. Tương tự, nếu một tế bào tinh trùng có nhiễm sắc thể Y và thêm hai nhiễm sắc thể X (XXY) thụ tinh với một tế bào trứng có nhiễm sắc thể X đơn thì đứa trẻ sinh ra sẽ mắc hội chứng 48,XXXY.

Một tế bào tinh trùng có nhiễm sắc thể Y và thêm hai nhiễm sắc thể X (XXY) thụ tinh với một tế bào trứng có nhiễm sắc thể X đơn thì đứa trẻ sinh ra sẽ mắc hội chứng 48,XXXY (Nguồn: doctorlib)
Sàng lọc và cách điều trị
Trong giai đoạn thai kỳ, người mẹ có thể thực hiện các xét nghiệm tiền sản để xác định xem thai nhi có mắc biến thể nặng hơn của hội chứng Klinefelter (48,XXXY) hay không. Một trong những xét nghiệm phổ biến là xét nghiệm triSure NIPT.
Ngay khi thai tròn 9 tuần, thai phụ có thể thực hiện xét nghiệm triSure NIPT để phát hiện sớm nguy cơ thai nhi mắc các dị tật bẩm sinh nghiêm trọng, phổ biến do bất thường số lượng nhiễm sắc thể (NST).
triSure NIPT sử dụng công nghệ giải trình tự thế hệ mới Illumina Hoa Kỳ và là xét nghiệm NIPT duy nhất Việt Nam được Gene Solutions phát triển dựa trên thông tin di truyền của người Việt, cho độ chính xác vượt trội >99%.

Thai phụ có thể phát hiện sớm hội chứng 48,XXXY cho thai với xét nghiệm triSure NIPT (Nguồn: pca-tech)
Khi thai phụ làm triSure NIPT cho kết quả nguy cơ cao mắc các dị tật bẩm sinh do bất thường di truyền sẽ tiếp tục được chỉ định thực hiện các xét nghiệm chẩn đoán xâm lấn. Kết quả xét nghiệm chẩn đoán mới là kết quả cuối cùng để xác định thai có thật sự mắc dị tật bẩm sinh hay không.
Với mong muốn đồng hành cùng thai phụ chăm sóc thai kỳ trọn vẹn hơn, Gene Solutions mang đến chương trình hỗ trợ sau xét nghiệm dành cho tất cả các gói triSure NIPT bất kỳ như triSureFirst, triSure3, triSureThalass, triSure9.5, triSure, triSure Procare. Theo đó, trường hợp thai phụ có kết quả triSure “dương tính” sẽ nhận được các hỗ trợ: bác sĩ di truyền tư vấn chuyên sâu, hướng dẫn và kết nối thai phụ làm chẩn đoán tại các bệnh viện phụ sản, hỗ trợ chi phí chọc ối hoặc sinh thiết gai nhau, miễn phí xét nghiệm gen chẩn đoán CNVSure để phát hiện các bất thường lệch bội và và vi mất lặp đoạn nhiễm sắc thể…
Các phương pháp điều trị có thể giúp giảm thiểu tác động xấu của bệnh. Việc điều trị cho bệnh nhân mắc hội chứng Klinefelter nên được thực hiện bởi nhóm bác sĩ chuyên khoa.
Tư vấn di truyền
Tư vấn di truyền trước sinh: Những người có kế hoạch mang thai nên được tư vấn di truyền trước khi mang thai, đặc biệt là trước khi thụ thai. Điều này giúp đánh giá các yếu tố nguy cơ liên quan đến các rối loạn bẩm sinh và cân nhắc các biện pháp phòng tránh.
Trong giai đoạn thai kỳ, người mẹ có thể thực hiện các xét nghiệm tiền sản để sàng lọc xem thai nhi có nguy cơ mắc bệnh hay không. Một trong những xét nghiệm phổ biến là xét nghiệm triSure NIPT.
Khi thai phụ làm triSure NIPT cho kết quả nguy cơ cao mắc các dị tật bẩm sinh do bất thường di truyền sẽ tiếp tục được chỉ định thực hiện các xét nghiệm chẩn đoán xâm lấn.
Khi được chẩn đoán xác định thai nhi có nguy cơ mắc bệnh, thai phụ cần được tham khảo ý kiến chuyên gia về tiên lượng bệnh, hướng điều trị để có quyết định tiếp theo.
Để đặt lịch tư vấn và xét nghiệm tại Gene Solutions, Quý khách vui lòng liên hệ số hotline 0287 101 8688.
Theo dõi Fanpage triSure NIPT – Gene Solutions và tham gia Cộng đồng Hội các mẹ bầu làm NIPT triSure – Gene Solutions để cùng thảo luận, giải đáp các thắc mắc về xét nghiệm sàng lọc trước sinh và chăm sóc sức khỏe thai kỳ cùng bác sĩ Sản khoa – Di truyền hàng đầu.
Nguồn tham khảo:
https://medlineplus.gov/genetics/condition/48xxxy-syndrome/
https://www.ncbi.nlm.nih.gov/pmc/articles/PMC3909519/?_ga=2.136645046.748380832.1696729632-1777329551.1696261684
https://www.ncbi.nlm.nih.gov/pmc/articles/PMC3314712/?_ga=2.136645046.748380832.1696729632-1777329551.1696261684





